
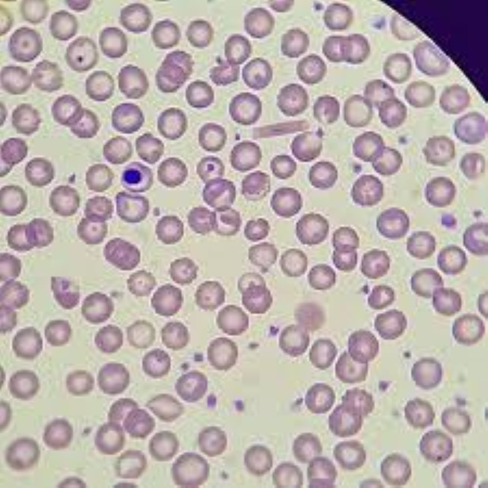
pesquisa de hemoparasitas em cães e gatos
em cães e gatos é comum, são vários os Hemoparasita, bactérias, vírus, protozoários e leverduras.O sangue que normalmente é coletado para a verificação desses parasitas
Domine uma das mais valiosas ferramentas terapêuticas em cães e gatos em apenas 50 horas com o Dr. Abílio. 🩸
Aprofunde seus conhecimentos em hemoterapia com o primeiro veterinário em Porto Alegre a trabalhar 24 horas, em finais de semanas e feriados, e isso fez toda a diferença para que ele obtivesse pleno conhecimento em transfusão sanguínea em cães e gatos.
No curso você Médico Veterinário(a) aprenderá em apenas 2 Módulos (50 horas):
– Coleta de sangue de cães e gatos;
– Testes de compatibilidade;
– Diagnóstico e tratamento das anemias;
– Diagnóstico e tratamento das quebras de hemostasia (sangramentos);
Pioneira no serviço de atendimento 24 horas, a Clínica Veterinária Doutor Abílio é expoente em atendimentos emergenciais de cães e gatos desde 1976.
Pioneira no serviço de atendimento 24 horas, a Clínica Veterinária Doutor Abílio é expoente em atendimentos emergenciais de cães e gatos desde 1976.
A Clínica trabalha há mais de trinta anos com o fornecimento de bolsa de sangue.
Um dos nossos diferenciais é que temos disponibilidade total de sangue e hemocomponentes para atender nossos colegas na região de Porto Alegre, metropolitana, serra gaúcha, litoral gaúcho e interior do estado.
Especializados
A Clínica Veterinária Doutor Abílio conta com uma extensa lista de serviços especializados em diversas àreas da saúde animal.
A eletroquimioterapia em cães e gatos é a combinação de duas técnicas diferentes: a quimioterapia, utilizada em tratamento de neoplasias e a eletroporação. A combinação das duas técnicas tem como intenção potencializar a ação das drogas quimioterápicas, COM AÇÃO LOCAL .
A ortopedia veterinária é uma especialidade que estuda, diagnostica e trata casos de traumatologias (luxações e fraturas) e patologias relacionadas aos ossos, músculos, articulações e ligamentos dos pets. A ortopedia em pequenos animais cuida da estrutura esquelética dos mesmos. A locomoção faz parte da qualidade de vida dos animais.
A hemoterapia é quando se utiliza o sangue total ou os componentes em separado no tratamento. Existe a possibilidade de existirem reações com a incompatibilidade sanguínea ao utilizar o sangue total nos cães e gatos. Mas tendo o diagnóstico da doença que precisa ser tratada pela hemoterapia veterinária, podem ser diminuídas ou até zeradas as chances de haver alguma reação na transfusão. Os testes de tipagem sanguínea e compatibilidade sanguínea atualmente são fundamentais na medicina transfusional.
A oncologia veterinária é a especialidade que cuida e realiza o tratamento do câncer ou neoplasia maligna nos animais. O câncer é considerado a segunda maior causa de mortes em animais domésticos. A oncologia também trata dos tumores benignos.
Increva-se nos nossos
Ministrados pelo próprio Doutor Abílio em sua Clínica, os cursos* promovem um ótimo intercâmbio de experiências e informações entre os participantes.
*Exclusivo para Médicos Veterinários
Aprenda a fazer diagnósticos de doenças que podem ser tratadas com a hemoterapia e como utilizá-la a seu favor! Saiba diferenciar os diversos grupos sanguíneos dos animais de pequeno porte e como coletá-los e armazená-los. Tão importante como fornecer sangue a cães e gatos, é diminuir os efeitos negativos potenciais desse maravilhoso recurso.
O Eletrocardiograma veterinário, também conhecido por ECG, é um exame não invasivo e fundamental para a cardiologia. Aprenda a fazer corretamente o ECG para realizar uma análise profunda das atividades cardíacas dos pequenos animais.

em cães e gatos é comum, são vários os Hemoparasita, bactérias, vírus, protozoários e leverduras.O sangue que normalmente é coletado para a verificação desses parasitas

A anemia regenerativa e arregenerativa são dois fatores diferentes que temos que dominar para podermos saber como tratar nossos animais

Você sabe quais doenças a vacinação pode evitar para que você tenha uma vida longa com seu pet?

Cuidar de um pet envolve muito mais do que oferecer carinho e atenção. Garantir a saúde dele é uma responsabilidade essencial que, muitas vezes, pode trazer custos inesperados. Nesse contexto, os planos de saúde para pets surgem como uma alternativa prática e segura, permitindo que você cuide melhor do seu companheiro enquanto protege seu orçamento.
Compartilhe Nossas notícias nas suas redes:
Este site usa cookies para melhorar sua experiência enquanto você navega pelo site. Destes, os cookies que são categorizados como necessários são armazenados no seu navegador, pois são essenciais para o funcionamento das funcionalidades básicas do site. Também usamos cookies de terceiros que nos ajudam a analisar e entender como você usa este site. Esses cookies serão armazenados em seu navegador apenas com o seu consentimento. Você também tem a opção de cancelar esses cookies. Mas desativar alguns desses cookies pode afetar sua experiência de navegação.Com uma estrutura completa e moderna, nossa clínica está pronta para receber você e seus pacientes. Nossos profissionais altamente qualificados e apaixonados por cuidar dos animais estão prontos para fornecer todo o suporte necessário durante o diagnóstico, tratamento e procedimentos cirúrgicos.
Pioneira no serviço de atendimento 24 horas, a Clínica Veterinária Doutor Abílio é expoente em atendimentos emergenciais de cães e gatos desde 1976.
O fundador Abílio Gomes, formado pela UFRGS e com especialização em cirurgia de pequenos animais pela UFSM, é um renomado profissional do ramo da Saúde Animal no Brasil.
O espaço conta com uma infraestrutura completa:
Raio X Digital, Eletrocardiografia, Laboratórios de Patologia Clínica, Sala de Ecografia, Salas de Cirurgia, Anestesia Inalatória, Monitor Cardíaco e Equipo Dentário.
Ao transfundir pacientes com anemias , devemos considerar sempre se ela é regenerativa ou arregenerativa.
Os pacientes com anemias francamente regenerativas, devem ser investigados com a mensuração do Lactato. Quando este estiver elevado, a transfusão está indicada.
Desta forma estabelecemos um critério racional do uso do sangue.
Retornaremos o contato para cadastro assim que possível
Especializados
A eletroquimioterapia em cães e gatos é a combinação de duas técnicas diferentes: a quimioterapia, utilizada em tratamento de neoplasias e a eletroporação. A combinação das duas técnicas tem como intenção potencializar a ação das drogas quimioterápicas, COM AÇÃO LOCAL .
A ortopedia veterinária é uma especialidade que estuda, diagnostica e trata casos de traumatologias (luxações e fraturas) e patologias relacionadas aos ossos, músculos, articulações e ligamentos dos pets. A ortopedia em pequenos animais cuida da estrutura esquelética dos mesmos. A locomoção faz parte da qualidade de vida dos animais.
A hemoterapia é quando se utiliza o sangue total ou os componentes em separado no tratamento. Existe a possibilidade de existirem reações com a incompatibilidade sanguínea ao utilizar o sangue total nos cães e gatos. Mas tendo o diagnóstico da doença que precisa ser tratada pela hemoterapia veterinária, podem ser diminuídas ou até zeradas as chances de haver alguma reação na transfusão. Os testes de tipagem sanguínea e compatibilidade sanguínea atualmente são fundamentais na medicina transfusional.
A oncologia veterinária é a especialidade que cuida e realiza o tratamento do câncer ou neoplasia maligna nos animais. O câncer é considerado a segunda maior causa de mortes em animais domésticos. A oncologia também trata dos tumores benignos.
Estamos disponibilizando o serviço de creche para cães. O valor fica 30 reais por turno e para ser um cão aluno o mesmo deve ser vacinado, vermifugado e ter o controle de pulgas e carrapato em dia. Qualquer dúvida entre em contato nos telefones 51 33405683 ou 51 991738529 para realizar a inscrição na creche do seu melhor amigo.
Muitas doenças em cães e gatos dependem de cirurgias para seu tratamento. Algumas são cirurgias eletivas, que são agendadas com antecedência, outras com caráter de urgência, para o tratamento de doenças com evolução rápida e implacável.
A Clínica do Doutor Abílio é destinada diretamente para o atendimento de animais, realização de consultas, tratamentos clínicos e cirúrgicos.
Nossa clínica oferece serviços laboratoriais há 27 anos com diferentes tipos de exames! Já que muitas das doenças de animais têm um diagnóstico complicado de ser feito, e necessitam de exames laboratoriais para serem confirmadas.
A Odontologia Veterinária ou odontoveterinária é uma área da medicina veterinária que tem como objetivo identificar e tratar doenças na cavidade oral de pets.
O Eletrocardiograma veterinário, também conhecido pelas siglas ECG, é um exame não invasivo e fundamental para a cardiologia. Sem dúvidas, por muitas vezes, ele permite mostrar o que não está bem no coração do animal, permitindo cada vez mais diagnósticos precisos das cardiopatias.
Informe que você viu essa Promoção pelo Site e Solicite o seu Desconto agora mesmo!
Retornaremos o contato para informar os horários disponíveis